Redcliffe Dental

Veneers in Redcliffe

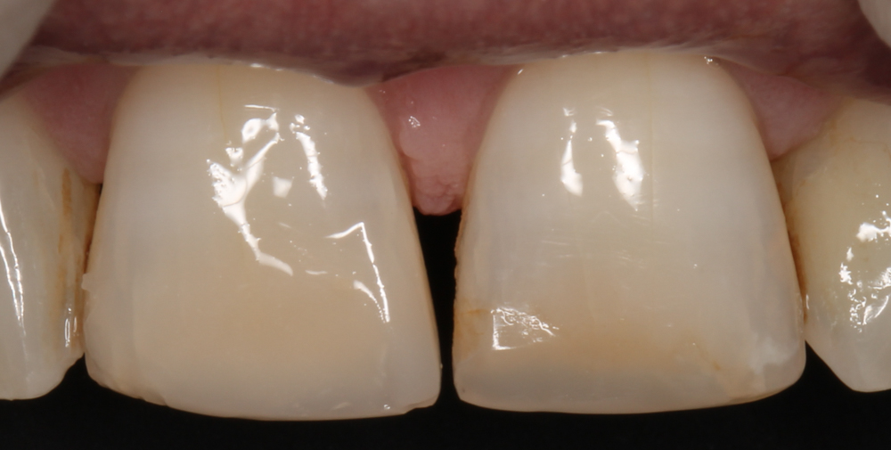
  • Before-Before After
    Before
    After-Before After
    After

Porcelain / Ceramic Veneers

What are veneers?

Porcelain veneers are thin shells of porcelain, bonded to the front of your teeth. Veneers are used to change or improve the shape and colour of the teeth. The layers of translucent ceramic material allow light to pass through, giving a realistic yet aesthetic result.  All our veneers are custom-made in a shape and colour specific to your needs to create the smile you want and deserve.

Why Get Veneers?

Veneers can be used in the following situations:

  • Cosmetic transformation– create a symmetrical, beautiful white smile
  • Stained teeth
  • Misshapen teeth
  • Severely discoloured teeth
  • Teeth that are too small or large
  • Unwanted spaces e.g. between your two front teeth
  • Chipped or mildly worn teeth.

Surgical Warning
Any surgical or invasive procedure carries risks. Before proceeding, you should obtain opinions and advice by an appropriately qualified health practitioner. Results and procedures required will vary from individual to individual.

What is the Procedure for Veneers?

You will need an initial consultation with our dentist who will assess in detail your teeth, your smile and we will talk to you to discover your desires and aims. This helps us to determine if veneers are the best treatment and to plan this procedure. The next stage is for your teeth to be prepared for veneers. A mould of your mouth is taken and temporary veneers are fitted. Once the veneers are ready, we will see you for a final fitting appointment whereyour new veneers are bonded to the teeth. Occasionally we may see you for a review appointment to ensure you’re happy with your new smile and everything is comfortable.

Are Veneers Easy to Care For?

Yes, as all you need do is brush and floss normally. Good oral care, including check-ups and professional cleanings, will help prolong the life of your veneers.

Frequently Asked Questions

What are dental veneers?
Veneers are thin porcelain or composite shells bonded to the front of teeth to improve their shape, colour, and alignment.

What dental concerns can veneers fix?
Veneers can address chipped, discoloured, slightly crooked, or unevenly spaced teeth, helping to create a more balanced and attractive smile.

How long do veneers last?
Porcelain veneers typically last 10 to 15 years with proper care and regular dental visits.