Redcliffe Dental

Smile Design Makeover in Redcliffe

  • Before-Before After
    Before
    After-Before After
    After
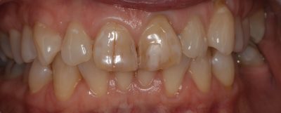
  • Before-Before After
    Before
    After-Before After
    After

A smile design makeover can be used to create substantial changes to the appearance of your teeth. To do this, our dentists will often use a combination of different treatments to achieve the desired outcome. This approach can also be a more conservative and cost-effective way to improve your smile while conserving healthy teeth. Our aim is always to protect and preserve your natural teeth and to avoid unnecessary modifications and treatments.

Finding out Which Treatments Will Work Best for You

After carrying out a detailed examination of your teeth, including the way they bite together, our dentist will sit with you to discuss how you’d like to improve your smile and if there are certain aspects that particularly concern you, for example perhaps you have a gap in between your teeth or feel your teeth aren’t quite the right shape.

Surgical Warning
Any surgical or invasive procedure carries risks. Before proceeding, you should obtain opinions and advice by an appropriately qualified health practitioner. Results and procedures required will vary from individual to individual.

Finding out Which Treatments Will Work Best for You

This allows us to build your customised treatment plan and to talk about the best way to proceed with your treatment. We may also suggest more complex treatments such as orthodontics to realign crooked teeth. This can improve your smile and your dental health, making it easier to brush and floss and preventing excess wear and tear to teeth due to an incorrect bite. If this is the case, we can refer you to a qualified specialist.

Don’t Forget That Finishing Touch

Your new smile will have been designed to complement your facial features and sometimes cosmetic injectable treatments can be a lovely finishing touch. These can address problems such as a lack of volume in your lips or unwanted frown lines and crow’s feet. When providing these treatments our dentists always work on the principle that less is more, using minimal amounts to achieve a naturally beautiful effect.

Frequently Asked Questions

What is a Smile Design Makeover?
A Smile Design Makeover is a personalised treatment plan that combines cosmetic and restorative dental procedures to enhance the appearance, health, and function of your smile.

Which treatments are included in a Smile Design Makeover?
Treatments may include veneers, teeth whitening, crowns, dental implants, and orthodontics, depending on your individual smile goals and oral health needs.

How do I know if I’m a candidate for a Smile Makeover?
If you have chipped, discoloured, missing, or misaligned teeth and want to improve your smile’s appearance, a consultation at Redcliffe Dental can help determine if a Smile Makeover is right for you.